ABC-LEKARNA.cz | Poradna a zkušenosti s léky a léčbou nemocí
 Poradna a zkušenosti s léky a léčbou nemocí 

Správne určený dátum ďalšieho ultrazvuku? - Poradna a zkušenosti

Poradna a zkušenosti s léky a léčbou nemocí, Správne, určený, dátum, ďalšieho, ultrazvuku?

Správne určený dátum ďalšieho ultrazvuku?

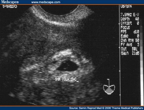
Pro větší náhled klikněte na obrázek
Správne určený dátum ďalšieho ultrazvuku? dundusa - 12.9.2011 12:19:34
Dobrý deň! Mám istý problém a rada by som sa spýtala na Váš názor. Tento mesiac 7. 9. 2011 som bola u gynekologičky na ultrazvuk a odber krvi, keďže som tehotná. Podľa výpočtu od poslednej menštruácie som bola vtedy v 5 tt + 4. Lekárka na ultrazvuku videla už embrionálne štruktúry, vyzeralo to ako bublinka (asi tak ako na priloženej fotografii - nie je to však môj ultrazvuk, len na porovnanie). Vystavila mi tehotenský preukaz, povedala mi, aby som sa objednala v októbri na integrované testy a ďalšiu návštevu, teda aj ďalší ultrazvuk mi dala až 10.10. 2011, čo budem už v 10 tt + 2! Podľa môjho názoru je to dosť neskoro, veď srdiečko vidno biť oveľa skôr, už vraj v 7 tt a ja mám prísť až tak neskoro? Čo ak srdiečko biť nebude a ja budem nosiť mŕtvy plod? Je takýto postup gynekologičky správny? Už som po jednom missed abort (zamlčanom potrate) z roku 2010 a chcem sa vyvarovať možných rizík. Ďakujem Vám za radu. S pozdravom Zuzana


Odpověď zdravotníka na dotaz: Správne určený dátum ďalšieho ultrazvuku?

Tak lekárku požiadajte o kontrolný UZ za dva týždne. V minulosti sa ale na prvú kontrolu a potvrdenie tehotenstva chodilo taký 8 až 10tt, kedy sa naplánovali odbery a urobil prvý screeningový UZ. Vzhľadom na vaše zlé skúsenosti z predchádzajúceho tehotenstva absolvujte UZ kontrolu za dva týždne, aby ste sa sama presvedčila o tom, že všetko je v poriadku a plod prosperuje. Vaša lekárka by mala brať do úvahy vašu minulosť a obavy s tým spojené.


Odpovědi návštěvníků stránek:

12.9.2011 12:50:36
Myslím, že přeháníte. Pokud Vám vaše lékařka nevyhovuje, jděte k jiné.


Nati - 12.9.2011 13:28:49
ahoj nemusis cakat do vtedy ak budes chciet tak chod ku nej okolo 8tt a ked si zaplatis ti urobi ultrazvuk a budes kludna chapem tvoje obavy ale netreba mysliet na to najhorsie uvidis budes mat krasne tehulkovanie ;)


12.9.2011 15:16:17
Ja netvrdím, že mi nevyhovuje moja lekárka. Nikdy som nepochybovala o jej rozhodnutiach, práve preto som teraz napísala tu, lebo týmto si nie som istá...Ak by mi lekárka nevyhovovala, tak na to, aby som išla k inej by som si radu nepýtala... NATI - ďakujem pekne za názor, a za pochopenie samozrejme. Veľmi si to vážim.Mám známu, čo také niečo zažila, že nemala príznaky potratu a nosila istý čas mŕtvy plod, takže je podľa mňa na mieste, ak sa o tom informujem, pokiaľ sa to môže týkať aj mňa.






Máte zdravotní problémy? Sdělte nám své příznaky - Pomůže vám naše poradna.


Diskuze Diskuze: otázky a odpovědi, zkušenosti a poradenství k Správne určený dátum ďalšieho ultrazvuku? - Diskuze je prázdná – vložte svou zkušenost nebo vložte svůj dotaz jako první

Vaše zkušenost/Komentář/Dotaz týkající se Správne určený dátum ďalšieho ultrazvuku?

Položky označené * jsou povinné.
Vaše jméno *:
E-mail :
Předmět *:
Text příspěvku *:
Opište kód *:
(kontrola spamu)
"lekarna"
Chcete-li obdržet odpověď / reakce na Váš příspěvek, nezapomeňte vyplnit položku E-mail. Vaše emailová adresa nebude zobrazena ani jinak použita.

 

NEPOSKYTUJEME ZDRAVOTNÍ PORADENSTVÍ. Naše online poradna je určena pro všechny pacienty, užívající některý z léčivých přípravků, pouze pro obecné informační účely. Poradna v žádném případě neslouží jako náhrada odborné lékařské péče. Poradna pomáhá se správným užíváním léčivých přípravků, odhalit vzájemnou nesnášenlivost léčiv, při snížení výskytu nežádoucích, vedlejších účinků léčiv a jako osvěta a zdroj informací. Pokud si myslíte, že potřebujete lékařkou pomoc, okamžitě zavolejte svého lékaře nebo vytočte číslo 155.




Aktuální diskuze - LÉKY
Nejnovější příspěvky v diskuzi:

Prestance 5mg/5mg - PRESTANCE 5 MG/5 MG 20 Tablety
Vložil: Jiří
2026-02-17 10:38:29

Dobrý den, mohu brát idoplněk stravy DIABEN na stabilizaci krevního cukru, který bohužel obsahuje skořici ? Někde jsem četl, že skořice vadí PRESTANCE. Díky za vysvětlení.Jirka...
Zaldiar 20 neblahe ucinky - ZALDIAR 20 Potahované tablety
Vložil: Markéta
2026-01-08 05:23:22

Měla jsem Zaldiar 20 po něm jsem mela akorát těstoviny s míchaných vajíčky šunkou parmezanem, po tem jsem vlezla do vany okamžitě se mi udělala vyrážka od kolen dolů která neskutečně pálila musela jsem z vany vylest bolesti sem brečela cítila jsem jak mi nohy...
Houbove quarteto - TEREZIA COMPANY Houbové quarteto 100% houbový přípravek 60 kapslí
Vložil: Katka Mašková
2025-11-24 17:28:12

Dobrý den, Ráda bych se zeptala, zda je vhodné brát houbove quarteto s antidepresivy. Děkuji velice ...
Afluditen - AFLUDITEN 25 MG/ML 5X1ML/25MG Injekční roztok
Vložil: Andrea Krulová
2025-11-12 12:05:01

Dobrý den můžu vědět jak přesně vám zničil život ? Protože mojí mamce taky,děkuji moc za odpověď ...
Dávkování - SYNULOX 250 A.U.V. TBL 500
Vložil: Markéta
2025-11-02 16:45:21

Dobrý den, můj pes dostal antibiotika Synulox 250mg. První dávku dostal v 12h další v 24h. Je možné dávkování převést na 6:30h a 18:30h bezpečné jednorázově? Jestezbere večer Medrol. Děkuji za odpověď....

Aktuální diskuze - NEMOCI
Nejnovější příspěvky v diskuzi:

Vypadá to jak na bradavici - Hirsuties papillaris/HPV
Vložil: Vladislav
2026-04-13 17:54:47

Mám to měsíc cca ale když sem řešil po internetu tak mi napsali mazové žlázky nevím kam poslat fotku děkuji ...
Vypadá to jak na bradavici - Hirsuties papillaris/HPV
Vložil: Vladislav
2026-04-13 17:54:25

Mám to měsíc cca ale když sem řešil po internetu tak mi napsali mazové žlázky nevím kam poslat fotku děkuji ...
akné na penisu - Pupínky u ochlupení
Vložil: Luboš
2025-11-29 18:24:24

Akné a folikulitidou trpím dlouhodobě, lékaři odmítají řešit příčinu, to nemá smysl. Ale na penisu se mi dříve pupínky objevily vždy pouze po holení. Nyní jsem se dlouho neoholil a z ničeho nic se mi objevil na údu malý bílý pupínek s lehce červeným oko...
Dostal som od Dr. Sacreho najlepší liek na zväčšenie penisu a problémy s neplodnosťou. - Prodloužení penisu
Vložil: Jones
2025-08-15 14:55:53

Dostal som od Dr. Sacreho najlepší liek na zväčšenie penisu a problémy s neplodnosťou. Pán Jones, som veľmi ohromený výsledkami bylinného lieku Dr. Sacreho! Môj penis je viditeľne väčší a hrubší a moja sebadôvera v spálni prudko vzrástla. Zlepšenie môj...
Červené boláčky - Vyrážka / bradavičky na žaludu
Vložil: Oto12
2025-05-28 01:00:42

Dobrý den,uz delší dobu se mi dělají červené pupínky boláčky nijak nebolí a necítím je. Po pohlavním styku mam žalud načervenaly a pupínky jsou výraznější zenu po pohlavním styku nic ne náplní nesvědi žádné problémy nema dekuji za odpověď ...


ABC-LEKARNA.cz - Online poradna, zkušenosti a recenze pacientů s užíváním léčivých přípravků, jaký lék nejlépe zabírá na Vaše nemoci a vedlejší nežádoucí účinky. Informační web o lécích na předpis, volně prodejných lécích a doplňcích. Pokud si myslíte, že potřebujete lékařkou pomoc, okamžitě kontaktujte svého lékaře nebo vytočte číslo 155. Informace zde zveřejněné jsou pouze obecné a nejesou náhradou odborné lékařské pomoci, diagnózy nebo léčby!
sitemap.txt