ABC-LEKARNA.cz | Poradna a zkušenosti s léky a léčbou nemocí
 Poradna a zkušenosti s léky a léčbou nemocí 

Strojček - Poradna a zkušenosti

Poradna a zkušenosti s léky a léčbou nemocí, Strojček

Strojček

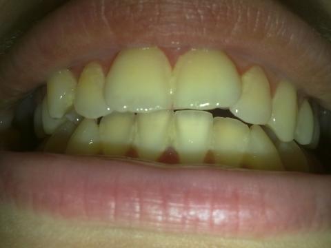
Pro větší náhled klikněte na obrázek
Strojček Nika26 - 27.5.2011 16:43:45
Dobrý deň,mám veľmi krivé zuby, a chcem strojček.Nerada sa usmievam, a keď som bola mladšia robili si zo mňa ostatní srandu. To, že chcem strojček som vravela aj doma, ibaže moji rodičia s tým nesúhlasia. Vravia, že je to nanič, zbytočné vyhadzovanie peňazí, atď. Raz pred pár rokmi (keď som mala inú zubárku), mi bolo povedané, že mám veľký predkus (niečo cez 5 mm) a že tomu pomôže len strojček. Vtedy som sa celkom potešila, ani rodičia neboli veľmi proti. No potom sme sa presťahovali.Teraz mám iného zubára a ten nevyzerá, že by sa chystal povedať mi, že potrebujem strojček. Napísala som Vám, lebo som už zúfalá a neviem čo mám robiť. Ja by som veľmi chcela ten strojček, ale nie som ten typ človeka, ktorý dostane všetko čo chce, a ktorý vie presviedčať. Prosím, skúste mi pomôcť :/ Mimochodom mám skoro 5mm predkus a pravú trojku mierne nad ostatnými.A niektorým mojim kamarátkam museli kvôli strojčeku vytrhnúť aj trvalé zuby ... mylsíte, že mne to nebude treba? Dúfam že nie, pretože podľa mňa je nanič ak sa kvôli strojčeku majú vytrhnúť zdravé trvalé zuby.


Odpověď zdravotníka na dotaz: Strojček

Vytvrhutí zubů je někdy potřeba aby se ostatní mohly srovnat, pokud se zuby nevytrhnou, rovnátka nemají smysl protože není dost místa na to aby se zuby vyrovnali. Nemyslím si že by u Vás byla rovnátka vyloženě nezbytná (spíš by Vám způsobovala komplikace), možná ale fotka trochu klame. Poraďte se svým zubním lékařem, pokud na rovnátkách vyloženě trváte, můžete si na ně našetřit, ale upozorňuji že to není levná záležitost. A o zuby s rovnátky je potřeba pečovat jinak a mnohem více.


Odpovědi návštěvníků stránek:

27.5.2011 16:47:44
predkus posudit neviem, ale strocnek nevyhnutne nepotrebujes, zuby nemas az tak krive, nebude ti to sposobovat kazy, len si daj pozor na medzeru medzi jednotkou a dvojkou, pouzivaj medzizubnu nit. a lepsie si cisti zuby, mas tam strasne vela povlaku


27.5.2011 16:59:06
Tak krive zuby toto vobec niesu, ale ked uz si to sem daval aspon zuby si si mohla umyt.


Nika26 - 27.5.2011 17:30:34
No, neviem kto múdry tu píše... A ja som si zuby umyla ! a to ja neviem preco to na fotkach nevidno, ale ja mam STRASNE krive zuby...Hore asi iba tá trojka ale spodok tak tam sú všetky zuby krivé ...tie prvé štyri čo je vidno najklepšie, tak to vyzerá, že sú rovno pri sebe ale to je tak, že jeden je v predu, druhý vzadu, tretí v predu a štavrtý v zadu ... len fotka je blbá ... a tie dalsie, co je vidno iba trochu, tak tie su uplne nahnute do boku...


27.5.2011 17:32:29
A co to mas za povlak na zuboch?


Nika26 - 27.5.2011 17:37:14
no to neviem .... proste mám


Nika26 - 27.5.2011 17:46:59
ale keby som chcela strojček tak ho môžem mať hej ?


27.5.2011 20:21:09
No ohladom strojceku sa musis poradit so zubarom, ci je to nutne a ci je to mozne, ja napriklad mam tiez krive zuby, omnoho omnoho krivsie ako mas na fotke, no napravit by sa to nedalo a ani som to nikdy nechcel, ani mi to zubar nikdy nenavrhol, treba sa ho opytat.


28.5.2011 2:06:08
ak si myslis, ze mas krive zuby, tak chod za zubarom. ale rataj, ze ta to bude stat viac ako 300e (najskor dostanes trvacny strojcek a ked sa ti zuby vyrovnaju, tak nocny). podla fotky zuby krive nemas. nemas ich sice uplne dokonale rovne ako herecky, ale ani krive. spytaj sa zubara, ci potrebujes strojcek, ja si myslim, ze povie nie. ale mozes si ho dat, ked budes starsia a nasetris si. a nehnevaj sa, ale niekde robis chybu, lebo takto umyte zuby nevyzeraju, nehovorim ti to v zlom, len sa o ne lepsie staraj, v povlaku ziju bakteria. pouzivaj medzizubnu nit, lebo toto ludi odplasi ovela rychlejsie ako "krive" zuby






Máte zdravotní problémy? Sdělte nám své příznaky - Pomůže vám naše poradna.


Diskuze Diskuze: otázky a odpovědi, zkušenosti a poradenství k Strojček - Diskuze je prázdná – vložte svou zkušenost nebo vložte svůj dotaz jako první

Vaše zkušenost/Komentář/Dotaz týkající se Strojček

Položky označené * jsou povinné.
Vaše jméno *:
E-mail :
Předmět *:
Text příspěvku *:
Opište kód *:
(kontrola spamu)
"lekarna"
Chcete-li obdržet odpověď / reakce na Váš příspěvek, nezapomeňte vyplnit položku E-mail. Vaše emailová adresa nebude zobrazena ani jinak použita.

 

NEPOSKYTUJEME ZDRAVOTNÍ PORADENSTVÍ. Naše online poradna je určena pro všechny pacienty, užívající některý z léčivých přípravků, pouze pro obecné informační účely. Poradna v žádném případě neslouží jako náhrada odborné lékařské péče. Poradna pomáhá se správným užíváním léčivých přípravků, odhalit vzájemnou nesnášenlivost léčiv, při snížení výskytu nežádoucích, vedlejších účinků léčiv a jako osvěta a zdroj informací. Pokud si myslíte, že potřebujete lékařkou pomoc, okamžitě zavolejte svého lékaře nebo vytočte číslo 155.




Aktuální diskuze - LÉKY
Nejnovější příspěvky v diskuzi:

Prestance 5mg/5mg - PRESTANCE 5 MG/5 MG 20 Tablety
Vložil: Jiří
2026-02-17 10:38:29

Dobrý den, mohu brát idoplněk stravy DIABEN na stabilizaci krevního cukru, který bohužel obsahuje skořici ? Někde jsem četl, že skořice vadí PRESTANCE. Díky za vysvětlení.Jirka...
Zaldiar 20 neblahe ucinky - ZALDIAR 20 Potahované tablety
Vložil: Markéta
2026-01-08 05:23:22

Měla jsem Zaldiar 20 po něm jsem mela akorát těstoviny s míchaných vajíčky šunkou parmezanem, po tem jsem vlezla do vany okamžitě se mi udělala vyrážka od kolen dolů která neskutečně pálila musela jsem z vany vylest bolesti sem brečela cítila jsem jak mi nohy...
Houbove quarteto - TEREZIA COMPANY Houbové quarteto 100% houbový přípravek 60 kapslí
Vložil: Katka Mašková
2025-11-24 17:28:12

Dobrý den, Ráda bych se zeptala, zda je vhodné brát houbove quarteto s antidepresivy. Děkuji velice ...
Afluditen - AFLUDITEN 25 MG/ML 5X1ML/25MG Injekční roztok
Vložil: Andrea Krulová
2025-11-12 12:05:01

Dobrý den můžu vědět jak přesně vám zničil život ? Protože mojí mamce taky,děkuji moc za odpověď ...
Dávkování - SYNULOX 250 A.U.V. TBL 500
Vložil: Markéta
2025-11-02 16:45:21

Dobrý den, můj pes dostal antibiotika Synulox 250mg. První dávku dostal v 12h další v 24h. Je možné dávkování převést na 6:30h a 18:30h bezpečné jednorázově? Jestezbere večer Medrol. Děkuji za odpověď....

Aktuální diskuze - NEMOCI
Nejnovější příspěvky v diskuzi:

akné na penisu - Pupínky u ochlupení
Vložil: Luboš
2025-11-29 18:24:24

Akné a folikulitidou trpím dlouhodobě, lékaři odmítají řešit příčinu, to nemá smysl. Ale na penisu se mi dříve pupínky objevily vždy pouze po holení. Nyní jsem se dlouho neoholil a z ničeho nic se mi objevil na údu malý bílý pupínek s lehce červeným oko...
Dostal som od Dr. Sacreho najlepší liek na zväčšenie penisu a problémy s neplodnosťou. - Prodloužení penisu
Vložil: Jones
2025-08-15 14:55:53

Dostal som od Dr. Sacreho najlepší liek na zväčšenie penisu a problémy s neplodnosťou. Pán Jones, som veľmi ohromený výsledkami bylinného lieku Dr. Sacreho! Môj penis je viditeľne väčší a hrubší a moja sebadôvera v spálni prudko vzrástla. Zlepšenie môj...
Červené boláčky - Vyrážka / bradavičky na žaludu
Vložil: Oto12
2025-05-28 01:00:42

Dobrý den,uz delší dobu se mi dělají červené pupínky boláčky nijak nebolí a necítím je. Po pohlavním styku mam žalud načervenaly a pupínky jsou výraznější zenu po pohlavním styku nic ne náplní nesvědi žádné problémy nema dekuji za odpověď ...
- Cysta na mozku miminka?
Vložil: Monika Kelnarova
2025-05-02 17:07:13

Dobry den,chci se zeptat na ultrazvuku mi zjistili ze miminko ma na mozku cystu choroidalniho plexu v levo i vpravo,se chci zeptat co to znamena a zda za jak dlouho to zmizi a zda to neni vazny děkuji Kelnarova ...
Výrůstky - Hirsuties papillaris/HPV
Vložil: Martin
2025-04-21 16:18:15

...


ABC-LEKARNA.cz - Online poradna, zkušenosti a recenze pacientů s užíváním léčivých přípravků, jaký lék nejlépe zabírá na Vaše nemoci a vedlejší nežádoucí účinky. Informační web o lécích na předpis, volně prodejných lécích a doplňcích. Pokud si myslíte, že potřebujete lékařkou pomoc, okamžitě kontaktujte svého lékaře nebo vytočte číslo 155. Informace zde zveřejněné jsou pouze obecné a nejesou náhradou odborné lékařské pomoci, diagnózy nebo léčby!
sitemap.txt